Ngày nay, việc niềng răng ngày càng trở nên phổ biến. Tuy nhiên nhiều người thường e ngại vấn đề thẩm mỹ và hạn chế khi có một hệ thống mắc cài trên răng. Để khắc phục nhược điểm này, phương pháp niềng răng mắc cài mặt trong hay còn gọi là niềng răng mặt trong ra đời.
Trường hợp nào cần niềng răng mặt trong?
Niềng răng là một trong những phương pháp hiệu chỉnh nha khoa. Một số trường hợp dưới đây cần niềng răng để tăng tính thẩm mỹ sau này cho hàm răng
- Khi răng mọc chen chúc, số lượng răng nhiều hơn mức trung bình gây thiếu thẩm mỹ, việc niềng răng sẽ giúp răng mọc đúng hàng, đều và đẹp hơn.
- Răng thưa: Khoảng cách giữa các răng xa nhau.
- Sai khớp cắn: Khớp cắn ngược (không thấy răng hàm trên). Khớp cắn ngập (không thấy răng hàm dưới). Khớp cắn chéo. Việc sai khớp cắn này gây ảnh hưởng đến chức năng nhai, dẫn đến khó khăn trong việc ăn uống. Sai khớp cắn còn khiến răng bị mài mòn nhanh hơn, dễ bị sâu hơn và dễ mắc các bệnh nha chu.
- Răng hô, vẩu, móm.
Tất cả những trường hợp trên đều nên tiến hành niềng răng để hàm răng được sắp xếp hài hòa hơn. Đồng thời, niềng răng cũng giúp đảm bảo chức năng ăn nhai, thuận tiện cho sinh hoạt cá nhân.

Độ tuổi thích hợp để niềng răng
Việc lựa chọn thời điểm niềng răng cũng rất quan trọng, nhất là với trẻ nhỏ. Độ tuổi tốt nhất để niềng răng là từ 10 đến 12 tuổi khi xương hàm còn chưa cố định, cơ thể đang phát triển, dễ rút ngắn thời gian niềng. Ở giai đoạn này việc điều chỉnh răng dễ dàng hơn, răng dễ dịch chuyển, được sắp xếp đều và đẹp. Và kết quả chỉnh nha giữ được tốt hơn.
Một số phương pháp niềng răng hiện nay
Niềng răng mắc cài kim loại
Là loại ra đời sớm nhất và có hiệu quả cao, chi phí thấp. Tuy nhiên nhược điểm của phương pháp này là tính thẩm mỹ không cao nên ngày càng ít được lựa chọn.

Mắc cài sứ
Về cơ chế giống với mắc cài kim loại nhưng lại có tính thẩm mỹ cao hơn. Tuy nhiên chi phí lại cao hơn mắc cài kim loại và một số bất tiện khi sử dụng.

Niềng răng tự đóng
Có hệ thống nắp cài thay cho dây thun giúp giữ cố định dây cung và mắc cài.

Niềng răng trong suốt Invisalign
Niềng răng trong suốt Invisalign: Là một loại khay niềng ôm sát mặt răng, điều chỉnh từng chút một cho đến khi răng về đúng vị trí.

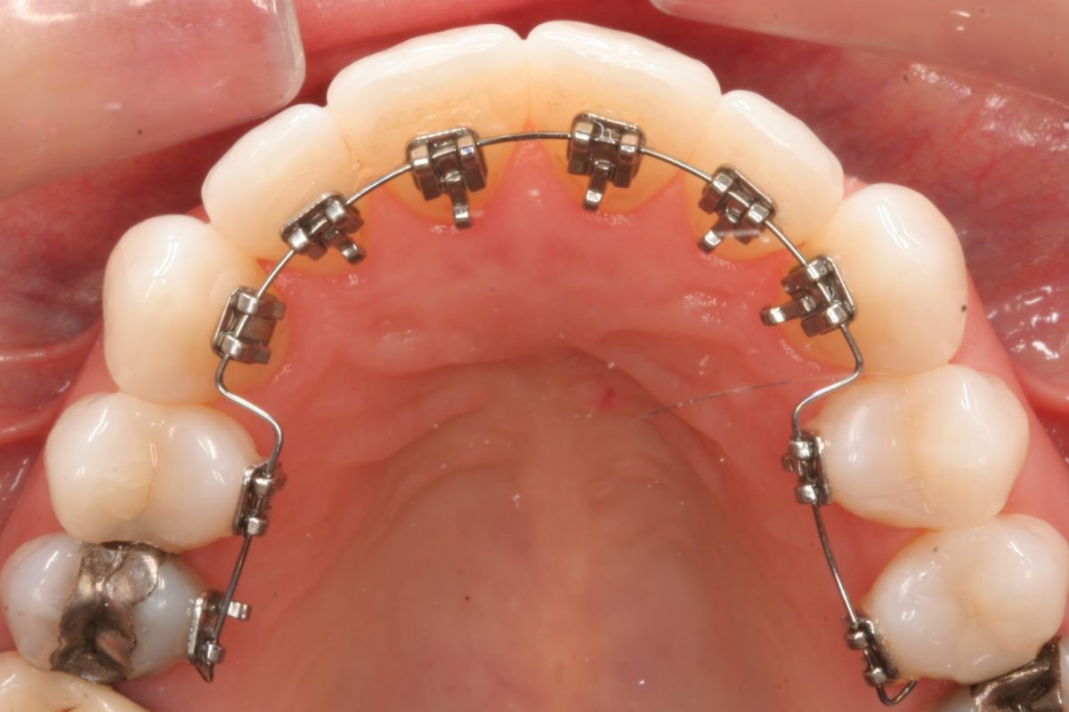
Niềng răng mặt trong
Niềng răng mặt trong hay còn gọi là niềng răng mắc cài mặt lưỡi, có cấu tạo giống với niềng răng mắc cài kim loại cao cấp nhưng các mắc cài được gắn vào mặt trong thân răng, tăng tính thẩm mỹ, giúp khách hàng tự tin khi giao tiếp.
Niềng răng mắc cài mặt trong và những điều cần biết
Niềng răng mắc cài mặt trong được coi là một rong những phương pháp hiện đại đem lại tính thẩm mỹ cao. Phương pháp sử dụng này hệ thống dây cung, mắc cài và các khí cụ nha khoa để tác động từ mặt răng bên trong tiếp giáp với lưỡi nhằm điều chỉnh răng về vị trí mong muốn trên cung hàm. Theo đó, phương pháp này giúp “giấu” những mắc cài vào mặt bên trong của thân răng, làm tính thẩm mỹ, giúp người niềng yên tâm hơn khi giao tiếp.

Ưu điểm
Tăng tính thẩm mỹ: Toàn bộ mắc cài được gắn vào mặt trong của răng giúp người niềng tự tin hơn, phù hợp với những người làm công việc phải giao tiếp nhiều, khiến người đối diện không nhận ra là bạn đang niềng răng.
Không gây tổn thương mặt ngoài răng khi tháo mắc cài.
Do có thiết kế nhỏ gọn, bề mặt trơn láng nên không làm tổn thương các cơ quan trong miệng như nướu, lưỡi, má… dễ vệ sinh răng miệng do được thiết kế gọn gàng.
Nhược điểm
Vì được gắn bên trong răng nên thời gian đầu sẽ có bất tiện và vướng víu, thậm chí là nói ngọng nhưng sẽ quen sau thời gian từ 1 – 4 tuần.
Khó vệ sinh răng miệng. Tuy nhiên có thể khắc phục bằng cách dùng loại bàn chải chuyên dụng, đánh răng theo đúng chỉ dẫn của nha sĩ.
Các bước tiến hành niềng răng mặt trong
Khám, chụp tổng quát và tư vấn điều trị
Bác sĩ sẽ kiểm tra tình trạng răng miệng của bạn và đưa ra kế hoạch điều trị thích hợp cho bạn.
Gắn khí cụ
Trước khi gắn mắc cài vào mặt trong răng, bác sĩ sẽ gắn các loại khí cụ hỗ trợ quá trình niềng răng sau như: Tách kẽ, lấy dấu có khâu, gắn khâu…
Giai đoạn gắn mắc cài kim loại
Bước 1: Đánh bóng nhẹ bề mặt răng người niềng.
Bước 2: Dùng banh miệng nhựa kéo má ra hai bên, làm khô răng và bôi keo nha khoa lên bề mặt răng để giữ các mắc cài trên răng.
Bước 3: Mắc cài mặt trong và keo sẽ cứng lại nhờ ánh sáng quang trùng hợp. Sau đó, dây cung được đặt lên trên rãnh mắc cài và cố định bằng thun chuyên dụng.
Sau đó, định kỳ từ 3 – 6 tuần bác sĩ sẽ hẹn bạn đến kiểm tra, thay dây cung và thun, tăng lực siết. Ngoài ra bác sĩ sẽ vệ sinh răng miệng và cạo vôi định kỳ để đảm bảo sức khỏe cho răng miệng của bạn.
Hoàn thiện
Sau khi kết thúc liệu trình, hàm răng đã được như ý muốn các bác sĩ sẽ tiến hành tháo niềng răng và đeo hàm duy trì cho bạn. Tuy nhiên bạn vẫn phải chú ý khám đúng định kỳ để bác sĩ kiểm tra độ ổn định của răng.

Giá cả của gói niềng răng mắc cài mặt trong là bao nhiêu?
Trong các loại hình chỉnh nha hiện nay, phương pháp mắc cài trong có chi phí khá cao do vật liệu cần có chất lượng tốt và kỹ thuật của người thực hiện phải thành thạo, lâu năm trong nghề.
Để đạt hiệu quả tốt nhất, bạn nên tuân thủ theo hướng dẫn của bác sĩ và đến khám định kỳ theo kế hoạch. Phương pháp mắc cài răng mặt trong này đặc biệt cần có sự theo dõi chặt chẽ và điều trị của bác sĩ nhằm đạt được kết quả như mong muốn.

Nha khoa Việt Hưng đã áp dụng Gói chỉnh nha mắc cài thế hệ mới vào điều trị nha khoa để đáp ứng nhu cầu thẩm mỹ ngày càng cao của khách hàng. Khi sử dụng gói dịch vụ, khách hàng sẽ được chăm sóc răng miệng toàn diện như khám tổng quát răng miệng, chụp phim răng toàn cảnh, nắn chỉnh răng sử dụng mắc cài kim loại tự buộc và lấy cao răng,…Ngoài ra, khách hàng còn nhận được 2 lần vệ sinh răng miệng trong quá trình niềng, và tặng hàm duy trì sau khi niềng răng nửa năm để đảm bảo kết quả niềng răng.
Liên hệ ngay Nha Khoa Việt Hưng để được tư vấn cụ thể về niềng răng và các dịch vụ nha khoa qua hotline 092 322 6886 – 024 6671 1926 hoặc fanpage Nha Khoa Thẩm Mỹ Việt Hưng.
Đọc thêm
